Ефекат терапеутске хипотермије против повреде бубрега у моделу асфиксијског срчаног застоја код пацова: Α Фокус на стопу преживљавања, патофизиологију и антиоксидативне ензиме
Mar 25, 2022
СО ЕУН КИМ1*, ХА-ИОУНГ СХИН2*, ЕУИ‑ИОНГ ЛЕЕ2, ИЕО‑ЈИН ИОО2, РИУН‑ХЕЕ КИМ2, ЕТ АЛ
Апстрактан.
Иако је мултиорганска дисфункција повезана са стопом преживљавања након срчаног застоја (ца), већина досадашњих студија се фокусирала на срца и мозак, а неколико студија је разматрало бубрежну инсуфицијенцију. Стога је циљ ове студије био да се испитају ефекти терапијске хипотермије на стопу преживљавања, патофизиологију и антиоксидативне ензиме у бубрезима пацова након асфиксијског ЦА. Пацови су жртвовани један дан након ЦА. Стопа преживљавања, која је процењена применом Каплан-Меиерове анализе, била је 42,9 процената један дан након око. Међутим, хипотермија, која је изазвана након ца, значајно је повећала стопу преживљавања (71,4 одсто). код пацова са нормотермијом са ца, ниво азота урее у серуму је значајно повећан један дан после ца. поред тога, ниво креатинина у серуму је значајно повећан један дан након ЦА. Међутим, код ЦА пацова изложених хипотермији, нивои азота уреје и креатинина значајно су се смањили након ца. Хистохемијско бојење је открило значајно временско повећање оштећења бубрега након што је група са нормотермијом била подвргнута ца. Међутим, оштећење бубрега је значајно смањено у групи са хипотермијом. Имунохистохемијска анализа бубрега показала је значајно смањење антиоксидативних ензима (бакар-цинк супероксид дисмутаза, манган супероксид дисмутаза, глутатион пероксидаза и каталаза) са временом у групи са нормотермијом. Међутим, у групи са хипотермијом, ови ензими су значајно повишени након ца. заједно, резултати су открили да је дисфункција бубрега након асфиксијског ца снажно повезана са раном стопом преживљавања, а терапеутска хипотермија је смањила оштећење бубрега путем ефикасних антиоксидативних механизама.
Кључне речи: асфиксијски застој срца, синдром после срчаног застоја, лечење хипотермије, бубрези, хистопатологија, антиоксидативни ензими
Контакт:joanna.jia@wecistanche.com

цистанцхе изгубљено царство биљеспречаваобољење бубрега, кликните овде да бисте добили узорак
Увод
Срчани застој (ца), такође познат као кардиопулмонални застој или циркулаторни застој, подразумева изненадни престанак нормалне циркулације крви услед неуспеха срца да правилно пумпа крв (1). могу изазвати исхемију целог тела, која узрокује оштећење више органа, укључујући мозак, срце, бубреге и јетру. Већина истраживачких студија које су укључивале око у последњих пола века фокусирале су се на побољшање стопе успешног повратка спонтане циркулације (роСц), са значајним напретком (2‑4). Иако хитна реанимација може побољшати роСц, стопа преживљавања са лошом прогнозом је забрињавајућа (5-7). Синдром након срчаног застоја (ПцаС) се односи на патофизиолошке последице роСц након успешне кардиопулмоналне реанимације (цПр) након ца (8). ПцаС је главни узрок смањеног преживљавања након роСц (9). Стопа преживљавања ПцаС у раном периоду код пацијената је само 30 процената (5). Нема сумње да су срце и мозак важни органи у ПцаС-у. У међувремену, студије су ретко испитивале бубрежну инсуфицијенцију после ца (1,10,11). Пролазно оштећење бубрежне функције је уобичајено код пацијената који су преживели око (12). Инциденција и утицај бубрежне дисфункције након ца нису добро описани (13). поред тога, наша претходна студија је сугерисала да ниска рана стопа преживљавања након роСц у експерименталним студијама (14) може бити снажно повезана са бубрежном инсуфицијенцијом као што је акутна повреда бубрега. један од најчешћих узрока акутне повреде бубрега је ца (15). акутна повреда бубрега је честа ПцаС која се развија код ~30 процената болничких пацијената са ца (16).
реактивне врсте кисеоника (роС) се састоје од низа кисеоникових интермедијера, укључујући супероксид ањон слободних радикала (о2•‑), нерадикални водоник пероксид (Х2о2), високо реактивни хидроксилни слободни радикал (ОХ•), пероксинитрит (оноо) , и синглетни кисеоник (1о2) (17). Откривено је да роС игра суштинску улогу у неколико експерименталних стања бубрега, као што су акутна исхемијска бубрежна инсуфицијенција, одбацивање бубрежног трансплантата, акутни гломерулонефритис и токсична бубрежна обољења (18). Постоје значајни докази који подржавају синтезу роС непосредно након акутног исхемијског можданог удара (19) и акутног инфаркта миокарда (20). Познато је да је роС важан код исхемијских болести, као што су мождани удар и инфаркт миокарда. На пример, Хацкенхаар ет ал (21) известили су да се роС генерише у крви пацијената са ПцаС; међутим, студије су ретко испитивале формирање роС у бубрезима након ца током раног периода после ПцаС (22,23).
Из тог разлога, претпостављено је да су роС важни код повреде бубрега након ца и доприносе ниској стопи преживљавања у раним фазама ПцаС. Да би се испитала ова хипотеза, код пацова је индукован асфиксијски ца и примећена је стопа преживљавања током раних фаза ПцаС. поред тога, извршена је непосредна и одложена хипотермија да би се повећала ниска стопа преживљавања повезана са ПцаС након роСц. Надаље, хистопатолошки је анализирана бубрежна дисфункција и процењене промене изазване роС, као што су бакар-цинк супероксид дисмутаза (Сод‑1), манган супероксид дисмутаза (Сод‑2), каталаза (цаТ) и глутатион пероксидаза (ГПКС). путем имуно-хистохемијске анализе након роСц.

цистанцхе пхарма специал
материјали и методе
Експерименталне животиње и групе.Укупно 62 мужјака Спрагуе-Давлеи (Сд) пацова (тежина, 270-300 г; старост 10 недеља) добијена су из експерименталног центра за животиње националног универзитета Јеонбук (иксан, република Кореја). Били су смештени на температури од 23±2˚Ц и влажности од 60±10 процената у циклусу светло/мрак од 12 сати. Имали су слободан приступ храни и води. сви експериментални протоколи су одобрени на основу етичких процедура и научне бриге од стране институционалне комисије за бригу о животињама и коришћење националног универзитета Јеонбук (одобрење бр. ЈБну 2020‑084).
Експерименталне животиње су стратификоване у три категорије [група лажне операције, ца под нормотермијом и ца и третман хипотермије (ХТ)] на следећи начин: и) група И, лажна група (н=5) одржавана је у условима нормотермије без ца; ии) група ии, група са нормотермијом без третмана хипотермије (33˚Ц) након ЦА (н=17); и иии) група иии (н=40), група која је била подвргнута ца под нормотермијом и лечена ХТ после ца током 2 х (н=17), 4 х (н=13) и 6 х (н=10) након роСц, где су сви пацови поново загрејани до нормотермије.
ЦА индукција и ЦПР.Ца и цПр су изведени као што је претходно описано (24,25) уз мање модификације (слика 1). Укратко, пацови су анестезирани са 2-3 процента изофлурана и механички вентилирани да би се одржало дисање помоћу вентилатора за глодаре (Харвард апарат). За праћење периферне засићености кисеоником (Спо2), сонда за засићење кисеоником за пулсну оксиметрију (Нонин Медицал, инц.) је причвршћена на лево стопало. Телесна температура је одржавана на 37±0.5˚Ц током и после операције ца. Да би се пратиле промене на електрокардиограму (ЕКГ), електрокардиографске сонде (цитива) су постављене на удове да би се обезбедили подаци од три електроде, који су континуирано праћени. Лева феморална артерија и десна феморална вена су одвојено канулиране ради праћења средњег артеријског притиска (МаП) (МЛТ 1050/д; АДИнструментс, лтд.) и интравенске ињекције.
Након периода стабилизације од 5 минута, интравенозно је примењен векуронијум бромид (2 мг/кг; Генсиа Сицор Пхармацеутицалс, инц.), анестезија је заустављена и механичка вентилација је повучена. МаП испод 25 мм‑Хг и накнадна електрична активност без импулса коришћена је за дефинисање ЦА (25,26). ЦА је потврђен на 3-4 минута након ињекције векуронијум бромида. 5 минута након ца, цПр је започет интравенозно давањем болус ињекције епинефрина (0.005 мг/кг; Сигма-Алдрицх;
Мерцк КГаа) и натријум бикарбонат (1 мек/кг; Сигма-Алдрицх; Мерцк КГаа) након чега је уследила механичка вентилација са 100% кисеоником и ручне компресије грудног коша брзином од 300/мин док МаП није достигао 60 мм‑Хг и примећена је електрокардиографска активност . када је животиња била хемодинамски стабилна и спонтано дисала (обично 1 х након роСц), катетери су уклоњени и животиња је екстубирана.
Управљање температуром међу групама.Телесна температура групе са нормотермијом је одржавана на 37±0.5˚Ц током и после операције ЦА и одржавана је све док пацови нису жртвовани у складу са временским распоредом. у групи са хипотермијом, утврђено је ца при нормалној температури; затим, телесна температура је одржавана пакетима леда и вентилаторима на 33±0.5˚Ц одмах након ЦПР-а током 2, 4 и 6 х, и брзо су загрејани подлогом за грејање до жељене температуре ( 37±0.5˚Ц). Пацови су затим враћени у своје кавезе док нису жртвовани једног дана након ЦПР/роСц. Телесна температура је праћена ректалним температурним сензором (27).
Биохемијска анализа серума.Интраперитонеална ињекција 30 мг/кг пентобарбитал натријума (ЈВ Пхарм цо., лтд.) је коришћена за анестезију свих животиња. Крв је сакупљена из трбушних вена сваке животиње у свакој групи. Серум је сакупљен центрифугирањем крви (2,774 кг, 15 мин, 4˚Ц) и чуван на -80˚Ц до анализе. Нивои азота урее у крви (Бун) и креатинина у серуму одређивани су према методама Међународне федерације клиничке хемије (28) коришћењем аутоматизованог хемијског анализатора Хитацхи 2070 (Хитацхи, лтд.). сви тестови су спроведени у три примерка коришћењем свежег серума.
Обрада ткива.Пацови су дубоко анестезирани интраперитонеалном ињекцијом 200 мг/кг пентобарбитал натријума (ЈВ Пхарм цо., лтд.) и перфундирани су транскардијално са 0.1 М физиолошког раствора са фосфатним пуфером (ПБС; пХ 7,4), а затим са 4 процента параформалдехида у 0,1 М фосфатног пуфера (ПБ; пХ 7,4). Бубрези су изоловани од сваке животиње и фиксирани са 4 процента параформалдехида у 0,1 М ПБ (пХ 7,4) на собној температури током 1 недеље, затим исечени сагитално, уклопљени у парафин и пресечени (6 µм).

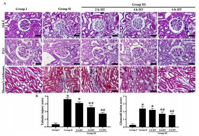
Хематоксилин и еозин (Х&Е), Периодиц Ацид-Сцхифф (ПАС) и Массоново трихромско бојење.Бојење Х&е извршено је ради испитивања патолошких промена у бубрезима према претходно описаној процедури (29). ПаС бојење је извршено да би се испитале промене у гломерулима према претходно описаним процедурама (30-32). Массонова трихромна метода бојења је коришћена за дефинисање тубуларне повреде, имајући у виду дилатацију тубула, тубуларну атрофију, формирање тубуларног гипса, вакуолизацију, дегенерацију, интерстицијалну фиброзу и љуштење тубуларних епителних ћелија или задебљање базалне мембране тубуле према претходно описаној процедури (33 ,34).
укупно 2 искусна патолога проценила су хистопатолошке промене на двоструко заслепљен начин. слике 10 обојених пресека/пацова снимљене су при к400 увећањима помоћу Леица дМ 2500 светлосног микроскопа (Леица Мицросистемс ГмбХ). У свакој секцији анализирано је укупно 10 поља. Хистопатолошка анализа бубрежних лезија урађена је према претходно описаним процедурама (35,36). Укратко, лезије су категорисане као без значајних микроскопских лезија (нСМл), минималне, благе, умерене или изражене лезије, респективно, оцењене коришћењем следеће скале са слепим тестом: нормално, 0 поена;<25% damage,="" 1="" point;="" 26‑50%="" damage,="" 2="" points;="" 51‑75%="" damage,="" 3="" points;="" and="" 76‑100%="" damage,="" 4="">25%>
Гломеруларне лезије су дефинисане губитком ћелијских елемената, колапсом капиларног лумена, аморфног хијалинског материјала са или без адхезија на Бовмановој капсули (30-32) и оцењене су следећим нумеричким скалама: без оштећења, { {7}} бодова; врло благо, 1 бод; благо, 2 бода; умерено, 3 бода; и тешка, 4 бода. Повреда тубуле је оцењена следећим системом бодовања: без повреде тубуле, 0 поена; 1-9 процената тубула повређених, 1 бод; 10-25 процената тубула повређених, 2 поена; 26-50 процената тубула повређених, 3 поена; 51-75 процената тубула повређених, 4 поена; и најмање 76 одсто тубула повређених, 5 поена (33,34).
Малондиалдехид (МДА).Концентрација Мда у кортексу бубрега је процењена према претходно описаном протоколу (23,37,38). Укратко, хомогенизација и центрифугирање бубрежног ткива су изведени на 8,832 кг током 10 минута на 4˚Ц, а супернатант је сакупљен и ускладиштен на -80˚Ц за МДА анализу. Садржај МДА је одређен према упутствима ТБарС комплета за испитивање (кат. бр. 10009055; цаиман цхемицал цомпани).
Имунохистохемија (ИХЦ) за антиоксидативне ензиме. иХц је изведен са Сод-1, Сод-2, цаТ и ГПКС да би се проучавале промене у антиоксидативним имунореактивностима у бубрезима. иХц је изведен према нашој претходно описаној методи (22). Укратко, пресеци (6 µм) су инкубирани са примарним козјим анти-Сод1 (1:500; кат. бр. СаБ2500976; Сигма-Алдрицх; Мерцк КГаа), козјим анти-Сод2 (1:1 ,000; кат. бр. СаБ2501676; Сигма‑Алдрицх; Мерцк КГаа), зец анти-цаТ (1:1,000; кат. бр. аб16731; Абцам) и зец анти-ГПКС ( 1:1,000; кат. бр. аб22604; Абцам) преко ноћи на 4˚Ц, а затим биотиниловани-коњуговани анти-зец (1:250; кат. бр. Ба‑1000‑1,5; векторске лабораторије , инц.) и биотиниловано-коњугована анти-козја (1:250; кат. бр. Ба‑5000‑1.5; Вецтор Лабораториес, Инц.) секундарна антитела током 2 х на 24˚Ц и развијена коришћењем Вецтастеин аБц (Векторске лабораторије , инц.). Затим су визуелизовани раствором 3,3'-диаминобензидина (у 0,1 М Трис-ХЦл пуферу).

Леица дМ 2500 микроскоп је коришћен за снимање пресека при увећању од к400. Укупно је одабрано 10 секција/пацова и ухваћено је 10 подручја. Софтвер за анализу прага слике, верзија 1.52а (Национални институт за здравље) је коришћен за мерење процента (процента) релативне оптичке густине (шип).
Статистичка анализа.Сви експерименти су поновљени у три примерка. Грапх Пад Присм верзија 5.0 (ГрапхПад Софтваре, инц.) је коришћен за анализу података, који су изражени као средња вредност ± стандардна грешка средњих (СеМ) вредности. Преживљавање је анализирано коришћењем Каплан-Меиерове статистике и теста логаритамског ранга. МаП и периферни кисеоник су упоређени коришћењем једносмерних и двосмерних поновљених мера анализе варијансе да би се проценио ефекат времена. Да би се утврдила значајност разлика, спроведене су пост хоц анализе коришћењем Тукијевог теста за сва вишеструка поређења у пару. П<0.05 was="" considered="" to="" indicate="" a="" statistically="" significant="">0.05>

Резултати
Физиолошке промене, стопа преживљавања и биохемијске варијабле у серуму. Није било статистички значајне разлике међу групама у погледу основних карактеристика, укључујући телесну тежину, МаП и Спо2 (Табела и и слика 2). До индукције ца дошло је 3-4 минута након интравенске ињекције векуронијум бромида (2 мг/кг). ЦА је потврђен изоелектричним ЕКГ, Спо2 и МаП, и они су се променили како се очекивало према експерименталном протоколу (Слика 2а-ц). као што је приказано на Слици 2д, телесна температура је била различита међу свим групама након роСц, као што је откривено на Слици 3, стопа преживљавања сваке групе је процењена на један дан после-ца. Стопа Групе ИИ износила је 42,9 одсто.

У групи иии, стопа након 2 х-ХТ била је 42,9 процената, стопа након 4 х-ХТ била је 57,1 процената, а стопа након 6 х-ХТ је била 71,4 процената. у овом експерименту, није било разлике између пацова у групи ии и пацова са 2 х-ХТ у групи иии.
као што је приказано на слици 4Б, ниво бундева у серуму у Групи и био је 13,8 мг/дл један дан после цца. у групи ИИ, ниво Бун је значајно повећан на 35,3 мг/дл. у Групи иии, ниво бундева био је 3{{10}},7 мг/дл након 2 х‑ХТ, 25.0 мг/дл након 4 х‑ХТ и 22,7 мг/ дл након 6 х‑ХТ. поред тога, као што је откривено на слици 4ц, ниво креатинина у серуму у Групи И био је {{20}}.23 мг/дл. у групи ии, ниво креатинина је значајно повећан на 0.43 мг/дл. у групи иии, нивои креатинина су били нижи од оних уочених у групи ии и то: 0,39 мг/дл након 2 х‑ХТ, 0,37 мг/дл након 4 х‑ХТ, и 0,36 мг/дл након 6 х‑ХТ.
Хистопатолошки налази. у Групи И (лажна), интактне хистолошке структуре су откривене Х&е, ПаС и Массоновим трихромским бојењем (слика 5А). Интерстицијална фиброза није откривена у свим групама, док је у групи ии, ца-индукована бубрежна хистопатологија испитана један дан након роСц коришћењем Х&е, ПаС и Массоновим трихромским бојењем. Тешка ЦА-индукована повреда бубрега значајно је повећана у проксималним тубулима и гломерулима; посебно, ивице бубрежних тубуларних епителних ћелија су биле озбиљно еродиране (слике 5а и Б). поред тога, у овој групи, гломеруларне капиларе су биле проширене инфламаторним ћелијама, а интерстицијски едем и акутна бубрежна тубуларна некроза су били озбиљни у поређењу са онима уоченим у Групи И (слика 5а).
у Групи иии, повреда бубрега је ослабљена једног дана након роСц (сл. 5а и Б). посебно, ца-индукована повреда у проксималним тубулима значајно је смањена након 6 х-ХТ у поређењу са оном уоченом у Групи ии. поред тога, локална експанзија проксималних тубула је смањена у поређењу са оним откривеним у Групи ИИ (Слика 5А). За гломеруле, 6 х-ХТ је значајно ослабио гломеруларну повреду у поређењу са оном откривеном у Групи ии (слике 5а и Б).
МДА ниво. као што је откривено на слици 4а, ниво Мда у кортексу бубрега је значајно повећан једног дана након ца у Групи ии у поређењу са Групом и. Међутим, у групи ИИИ, ниво МДА је значајно смањен након 4 х‑ и 6 х‑ХТ. такође је смањен у 2 х‑ХТ, али није било статистички значајне разлике у поређењу са Групом ИИ.

Налази имунореактивности антиоксидативних ензима.
У групи И, процењене су нормалне имунореактивности Сод-1, Сод-2, ГПКС и цаТ, откривајући да су оне углавном лоциране у тубулима (слика 6а). у Групи ии, имунореактивност Сод-1, Сод-2, ГПКС и ЦАТ је значајно смањена једног дана након роСц у поређењу са онима откривеним у Групи и (сл. 6а и Б).
у Групи иии, имунореактивности Сод-1, Сод-2, ГПКС и цаТ након 2 х-ХТ нису се значајно разликовале од оних уочених у Групи ии (Слике 6а и Б). у случају 4 х-ХТ, четири имунореактивности су биле значајно веће од оних откривених у Групи ии (сл. 6а и Б), показујући да је, посебно, имунореактивност ГПКС била значајно виша у поређењу са другим имунореактивностима. у случају 6 х‑ХТ, све имунореактивности су биле веће од оних идентификованих код пацова који су примили 4 х‑ХТ, откривајући да је имунореактивност штапића сваког Сод‑1, Сод‑2, ГПКС и цаТ била 78,4, 67,4, 86,5 и 79,5 процената, респективно, у поређењу са Групом и (сл. 6а и Б).

херба епимедиум сагиттатум
Дискусија
У студијама на животињама, срце и мозак су најтеже погођени органи након исхемијске/реперфузијске (и/р) повреде након ца (39,40). ипак, одређене студије су известиле да акутна повреда бубрега има утицај на неуролошки опоравак (41,42). Због тога је важно истражити акутну повреду бубрега након ца и цПр. у овој студији, одрасли мужјаци Сд пацова су коришћени за асфиксални ца убризгавањем векуронијум бромида. ЦА је потврђен 3-4 мин након индукције асфиксије, а цПр је изведен 5 мин након ца. МаП, ЕКГ и Спо2 су измењени како се очекивало током ца и после роСц. у нашој садашњој студији, стопа преживљавања у Групи иии била је 42,9 процената један дан након роСц код пацова који су били изложени 2 х-ХТ, 57,1 процената код пацова третираних са 4 х-ХТ, и 71,4 процената код пацова подвргнутих 6 х‑ХТ. цхе ет ал (26) известили су да је стопа преживљавања била 40 процената два дана након роСц у моделу пацова са асфиксијом ца. поред тога, Ванг и сарадници (43) су известили да је код пацова комбинација хипотермије и левосимендана (сензибилизатор калцијума и отварач калијумских канала) након роСц значајно повећала преживљавање. На основу ових налаза, ХТ код пацова са ца може повећати стопу преживљавања неколико дана након роСц. Међутим, код људи, ХТ након ца тешко повећава стопу преживљавања након роСц (44).
бубрежна дисфункција је пријављена код 12-28 процената пацијената са ца након успешне реанимације (13). поред тога, акутна повреда бубрега развила се код 43 процента пацијената реанимираних након ца, а више од 75 процената ових епизода се догодило у року од три дана након ца (45). на животињским моделима, акутна повреда бубрега изазвана и/Р (тј. РОСЦ након ЦА) је значајно ослабљена ХТ (43,46,47). На пример, Тиссиер и сарадници (47) су известили о значајном слабљењу лезија бубрега од ХТ у зечјем моделу ца, на основу хистопатологије и електронске микроскопије, у поређењу са контролном групом. у нашој садашњој студији, резултати хистопатолошких гломеруларних и тубуларних лезија бубрега у Групи ии су очигледно побољшани један дан након роСц. у овој групи, нивои серумског бундева и креатинина су значајно повећани након РОСЦ у поређењу са лажном групом (Група и). Ови резултати су били слични онима из претходних студија које су укључивале ца моделе паса, зеца и прасића (47-49). Дакле, повреда бубрега је значајно повећана у раној фази након ца код експерименталних животиња. у нашој садашњој студији, бубрежне гломеруларне и тубуларне лезије и хистопатолошки резултати у Групи иии су значајно смањени након 4 х‑ и 6 х‑ХТ једног дана након роСц у поређењу са Групом ии. Рибеиро и сарадници (46) и Соуза и сарадници (50) су известили да је ХТ био ефикасан на животињским моделима повреде бубрега и/р. Ислам и сарадници (23) и Јавад и сарадници (22) су утврдили да ХТ смањује озбиљност повреде бубрега и повећава стопу преживљавања у асфиксијском ца моделу. Налази сугеришу да ХТ има значајан заштитни ефекат на бубреге, који је повезан са повећаном стопом преживљавања.

Ендогени антиоксидативни ензими углавном укључују Содс, ЦАТ и ГПКС. Ови ензими обезбеђују прву линију одбране од о2•‑ и ОХ•. СОД‑1 и СОД‑2 обезбеђују одбрану од оксидативног стреса катализујући дисмутацију о2•‑ у о2 и Х2о2 (51). оксидативни стрес је кључни фактор у повреди органа и хемодинамској дисфункцији током ПцаС и стварању роС током и/р повреде. Активност антиоксидативних ензима је промењена и/р повредом након ца (21). наша студија је открила да су нивои Сод‑1, Сод‑2, ГПКС и цаТ смањени након роСц у Групи ии у поређењу са Групом и. Нивои ових антиоксидативних ензима су смањени након и/р, што узрокује оштећење и смрт ћелија услед потрошње ендогених антиоксиданата као резултат ослобађања роС (52).
Ксиа и сарадници (53) су пријавили повећану антиоксидативну активност у ткивима бубрега код мишева изложених ХТ код повреде бубрега и/р. Хацкенхаар и сарадници (21) су приметили значајно повећање активности Сод-1, Сод-2, ГПКС и цаТ након 6, 12, 36 и 72-х ХТ код људи након роСц. у претходним студијама које су користиле модел асфиксијског ца пацова, Ислам и сарадници (23) су известили да ХТ након ца смањују оксидативни стрес у бубрезима, а Јавад и сарадници (22) су известили да ХТ који прати ца штити бубрег од повреда изазваних ца, показујући да је нрф2/Хо-1 повећан у бубрезима. у нашој садашњој студији, имунореактивност Сод‑1, Сод‑2, ГПКС и цаТ је значајно повећана након 4 х‑ХТ и 6 х‑ХТ у Групи иии у поређењу са Групом ии, што сугерише да је ХТ активирао антиоксидативне ензиме и смањио оксидативни стрес.
На основу резултата преживљавања, хистопатологије, биохемијских и имунохистохемијских резултата ове студије, утврђено је да је дисфункција бубрега честа и повезана са морталитетом у раним стадијумима ПцаС након роСц, у нашем моделу пацова са асфиксијом ца. Међутим, 4 х- или 6 х-ХТ након РОСЦ-а значајно је смањило оштећење бубрега, што сугерише да ХТ индукује активацију антиоксидативних ензима, као што су Сод-1, Сод-2, ГПКС и цаТ, што доводи до смањеног оксидативног стреса у бубрезима. као резултат тога, претпостављено је да ХТ смањује оштећење бубрега антиоксидативним механизмом и повећава рану стопу преживљавања. Међутим, неопходна је Вестерн блот анализа да би се разјаснио механизам оштећења бубрега и ХТ у отприлике након роСц. Ово је потенцијално ограничење ове студије и наглашава потребу за даљим студијама.

мирицетин
1 одељење за ургентну медицину, истраживачки институт за клиничку медицину националног универзитета Јеонбук, Јеоњу, Јеоллабук-до 54907;
2 Цоллеге оф Ветеринари Медицине анд Биосафети Ресеарцх Институте, Јеонбук национални универзитет, сан, Јеоллабук-до 54596;
3 одељење за биомедицинске науке и истраживачки институт за бионауку и биотехнологију, Универзитет Халим, Чунчеон, Гангвон-до 24252;
4 одељење за хирургију, Национална универзитетска болница Кангвон,
Медицински факултет, Национални универзитет Кангвон, Чунчеон, Гангвон-до 24289; 5 одсек за неуробиологију, Медицински факултет, Кангвон национални универзитет, Чунчеон, Гангвондо 24341, Република Кореја
Признања
није применљиво.
Финансирање
Ова студија је подржана од стране Програма основних научних истраживања кроз Националну истраживачку фондацију Кореје коју финансира Министарство образовања (бр. грантова нрФ‑2019р1ц1ц1002564, нрФ‑2019р1Ф1а1062696 и нрФ{8}1}р59Ф19).
Доступност података и материјала
Скупови података који су коришћени и/или анализирани током текуће студије доступни су од одговарајућег аутора на разуман захтев.
Прилози аутора
СеК, ХИС, МХВ и ХЈТ су били одговорни за дизајн експеримента, прикупљање података, анализу података и писање рукописа. еИл, ИЈИ, рХК, ЈХц и ТКл су извршили експерименте и анализу података. дца, БИП, ЈцИ, СКХ и иСК извршили су анализу података и дали критичке коментаре на цео процес студије. сви аутори су прочитали и одобрили коначни рукопис. ХИС и ХЈТ потврђују аутентичност свих необрађених података.
Етичко одобрење и сагласност за учешће
сви експериментални протоколи су одобрени на основу етичких процедура и научне бриге од стране Комитета за институционалну негу и употребу животиња националног универзитета Јеонбук (одобрење бр. ЈБну 2020‑084; Јеоњу, Јужна Кореја).
Сагласност пацијената за објављивање
није применљиво.
Такмичарски интереси
Аутори изјављују да немају супротстављене интересе.
Референце
1. Гиротра С, цхан ПС и Брадлеи СМ: Нега након реанимације након ванболничког и болничког срчаног застоја. Срце 101: 1943‑1949, 2015.
2. РОХ Ии, Јунг ВЈ, Хванг Со, Ким С, Ким ХС, Ким ЈХ, Ким ТИ, Канг ХС, Лее ЈС и Цха КЦ: Краћи интервал дефибрилације промовише успешне исходе дефибрилације и реанимације. реанимација 143: 100‑105, 2019.
3. Ксантхос Т, Иацовидоу н, Пантазопоулос и, Влацхос И, Бассиакоу е, Строумпоулис К, Коускоуни е, Карабинис а и Пападимитриоу л: Исхемија-модификовани албумин предвиђа исход кардиопулмоналне студије: експериментална студија. реанимација 81: 591‑595, 2010.
4. Иех СТ, Цавлеи РЈ, ауне Се и Ангелос МГ: потреба за кисеоником током кардиопулмоналне реанимације (цПр) да би се дошло до повратка спонтане циркулације. реанимација 80: 951‑955, 2009.
5. лопез-Херце Ј, дел цастилло Ј, Матаморос М, цанадас С, родригуез-цалво а, цеццхетти ц, родригуез-нунез а и царрилло А; ибероамерицан Педијатријски срчани застој Мрежа истраживања риБеПци: Пост повратак фактора спонтане циркулације повезаних са морталитетом у педијатријском ин-хоспиталном срчаном застоју: проспективна мултицентрична мултинационална опсервациона студија. црит царе 18: 607, 2014.
6. Монгардон н, Думас Ф, постати С, Грималди д, Хиссем Т, Пене Ф и цариоу а: Синдром посткардијалног застоја: Од непосредне реанимације до дугорочног исхода. Анн интензивна нега 1: 45, 2011.
7. Неимар РВ, Нолан ЈП, Адрие ц, Хибики М, Берг РА, Боттигер БВ, Цаллаваи ц, Цларк рС, Геоцадин РГ, Јауцх ЕЦ, ет ал: Синдром након срчаног застоја: епидемиологија, патофизиологија, лечење и прогноза. консензус међународног комитета за везу за реанимацију (Америцан Хеарт Ассоциатион, Аустралијски и Новозеландски савет за реанимацију, Европски савет за реанимацију, Фондација за срце и мождани удар Канаде, Интерамерицан Хеарт Фоундатион, Савет за реанимацију Азије и Савет Африке за реанимацију Јужне Африке ); комитет за хитну кардиоваскуларну негу америчког удружења за срце; конзилијума за кардиоваскуларну хирургију и анестезију; савет за кардиопулмоналну, периоперативну и интензивну негу; конзилијума за клиничку кардиологију; и Савет за мождани удар. тираж 118: 2452‑2483, 2008.
8. Нолан ЈП, Неуманн РВ, Адрие ц, Хибики М, Берг РА, Боттигер БВ, Цаллаваи ц, Цларк рС, Геоцадин рГ, ет ал: Синдром након срчаног застоја: епидемиологија, патофизиологија, лечење и прогноза. Научно саопштење Међународног комитета за везу о реанимацији; комитет за хитну кардиоваскуларну негу америчког удружења за срце; конзилијума за кардиоваскуларну хирургију и анестезију; савет за кардиопулмоналну, периоперативну и интензивну негу; конзилијума за клиничку кардиологију; савет о удару. ресусцитатион 79: 350‑79, 2008. ДОИ: 10.1016/ј.ресусцитатион.2008.09.017
9. Јентзер Јц, промена Мд и дезфулиан ц: Дисфункција миокарда и шок након срчаног застоја. БиоМед рес инт 2015: 314796, 2015.
10. Мадл ц и Холзер М: Функција мозга након реанимације од срчаног застоја. цурропин црит царе 10: 213-217, 2004.
11. Робертс БВ, Килганнон ЈХ, цхански Ме, Миттал н, Вооден Ј, Паррилло Је и Трзециак С: Вишеструка дисфункција органа након повратка спонтане циркулације у синдрому посткардијалног застоја. црит царе Мед 41: 1492‑1501, 2013.
12. Зеинер а, Сундер-Плассманн Г, Стерз Ф, Холзер М, губитници Х, лаггиер ан и Муллнер М: Ефекат благе терапеутске хипотермије на бубрежну функцију након кардиопулмоналне реанимације код мушкараца. реанимација 60: 253‑261, 2004.
13. Ианта Ј, Гуиетте ФКС, Досхи а, Цаллаваи ЦВ и Риттенберг Јц; Служба после срчаног застоја: дисфункција бубрега је уобичајена након реанимације након ванболничког застоја срца. реанимација 84: 1371‑1374, 2013.
14. Лее ЈХ, Лее ТК, Ким иХ, Лее Јц, Вон МХ, Парк ЈХ, Ахн ЈХ, Схин Мц, охк ТГ, Моон ЈБ, ет ал: промене у хистопатологији и нивоима фактора туморске некрозе у срцима пацова који следе асфиксијски застој срца. Цлин Екп Емерге Мед 4: 160‑167, 2017.
15. Луццхино С, Келлум Ја, Белломо р, Доиг ГС, Мориматсу Х, Моргера С, Сцхетз М, Тан и, Боуман ц, Мацедо е, ет ал; Почетак и завршетак истраживача потпорне терапије за бубреге (БеСТ Киднеи): акутна бубрежна инсуфицијенција код критично болесних пацијената: мултинационална, мултицентрична студија. ЈАМА 294: 813‑818, 2005.
16. Маттана Ј и Сингхал Пц: Преваленција и детерминанте акутне бубрежне инсуфицијенције након кардиопулмоналне реанимације. арх. приправник Мед 153: 235‑239, 1993.
17. Сацхсе а и Волф Г: реактивне врсте кисеоника индуковане ангиотензином ИИ и бубрези. Ј ам Соц Непхрол 18: 2439-2446, 2007.
18. Бауд л и ардаиллоу р: реактивне врсте кисеоника: Производња и улога у бубрегу. ам Ј Пхисиол 251: Ф765-Ф776, 1986.
19. Родриго р, Фернандез-Гајардо р, Гутиеррез р, Матамала ЈМ, Царрасцо р, Миранда-Мерцхак а и Феуерхаке В: оксидативни стрес и патофизиологија исхемијског можданог удара: нове терапеутске могућности. Циљеви лекова против неуронских поремећаја ЦНС 12: 698‑714, 2013.
20. Схахзад С, Хасан а, Фаизи АФ, Матеен С, Фатима н и Моин С: повишено оштећење ДНК, оксидативни стрес и ослабљен систем одбране одговора нанет код пацијената са инфарктом миокарда. Цлин Аппл Тхромб Хемост 24: 780‑789, 2018.
